Į turinį
Apie mus
Specialistai
Paslaugos
Paslaugos
Visos paslaugos
Dantų implantavimas
Chirurginės procedūros
Protinių dantų šalinimas
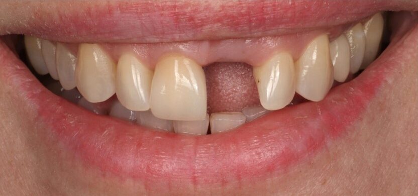
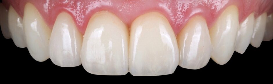
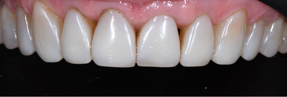
Dantų protezavimas
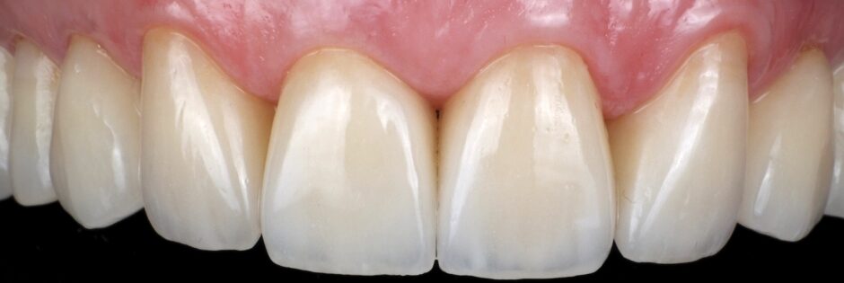
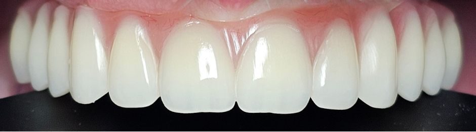
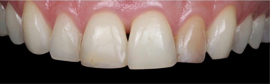
Dantų laminatės
Estetinis plombavimas
Ortodontinis gydymas
Dantų tiesinimas kapomis
Dantų gydymas su sedacija
Terapinis gydymas
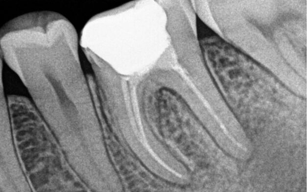
Endodontinis gydymas
Burnos higiena
Dantų balinimas
Gydymas „ICON” sistema
Periodontologija
Rentgenologiniai tyrimai
„Visi ant 4“ („All-on-4®”) gydymo metodika
Vaikų odontologija
Neodenta Kids
Pieninių dantų šalinimas
Pieninių dantų terapinis gydymas
Vaikų dantų silantavimas
Pieninių dantų kanalų gydymas
Pieninių dantų ir fluoro profilaktika
Dantų gydymas bendrinėje nejautroje
Burnos higiena GBT metodu
Teritorinių ligonių kasų (TLK) kompensacijos vaikams
Burnos higiena vaikams
Teritorinių ligonių kasų
kompensavimas
Finansavimo sprendimas
jūsų gydymo išlaidoms
Kainos
Parduotuvė
Visos prekės
Dantų šepetėliai
Suaugusiems
Vaikams
Burnos priežiūros priemonės
Irigatoriai
Vaikų dantų priežiūra
Dantų šepetėliai
Paslaugos
Konsultacijos
Pirminiai tyrimai
Dovanų kuponai
Dantų papuošalai
Swarovski® kristalai
Atlikti darbai
Naujienos
Pasiūlymai
Kontaktai
Paieška pagal:
Paieška
Norėdami ieškoti, įveskite bent 2 simbolius
0
Visi miestai
+370 444 77777
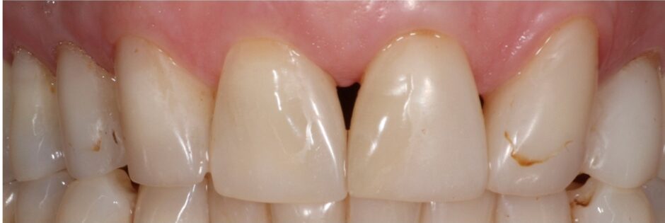
Atlikti darbai
Dantų balinimas
„Visi ant 4“ („All-on-4”) gydymo metodika
Dantų protezavimas
Burnos higiena
Estetinis plombavimas
Dantų tiesinimas kapomis
Terapinis gydymas
Endodontis gydymas
Dantų laminatės
Ortodontinis gydymas
Registracija internetu
Registracija
Tvarkyti sutikimą
Siekdami teikti geriausią patirtį, įrenginio informacijai saugoti ir (arba) pasiekti naudojame tokias technologijas kaip slapukus. Jei sutiksime su šiomis technologijomis, galėsime apdoroti duomenis, tokius kaip naršymo elgsena arba unikalūs ID šioje svetainėje. Nesutikimas arba sutikimo atšaukimas gali neigiamai paveikti tam tikras funkcijas ir funkcijas.
Funkcinis
Funkcinis
Visada aktyvus
Techninė saugykla arba prieiga yra griežtai būtina siekiant teisėto tikslo – sudaryti sąlygas naudotis konkrečia paslauga, kurios aiškiai paprašė abonentas arba naudotojas, arba tik tam, kad būtų galima perduoti ryšį elektroninių ryšių tinklu.
Parinktys
Parinktys
Techninė saugykla arba prieiga yra būtina teisėtam tikslui išsaugoti nuostatas, kurių neprašo abonentas ar vartotojas.
Statistika
Statistika
Techninė saugykla arba prieiga, kuri naudojama tik statistiniais tikslais.
Techninė saugykla arba prieiga, kuri naudojama tik anoniminiais statistikos tikslais. Be teismo šaukimo, jūsų interneto paslaugų teikėjo savanoriško įsipareigojimo ar papildomų įrašų iš trečiosios šalies, vien šiuo tikslu saugoma ar gauta informacija paprastai negali būti naudojama jūsų tapatybei nustatyti.
Rinkodara
Rinkodara
Techninė saugykla arba prieiga reikalinga norint sukurti naudotojo profilius reklamai siųsti arba sekti vartotoją svetainėje ar keliose svetainėse panašiais rinkodaros tikslais.
Tvarkyti parinktis
Tvarkyti paslaugas
Tvarkyti {vendor_count} pardavėjus
Skaitykite daugiau apie šiuos tikslus
Priimti
Neigti
Peržiūrėti nuostatas
Išsaugoti nuostatas
Peržiūrėti nuostatas
{title}
{title}
{title}
Tvarkyti sutikimą