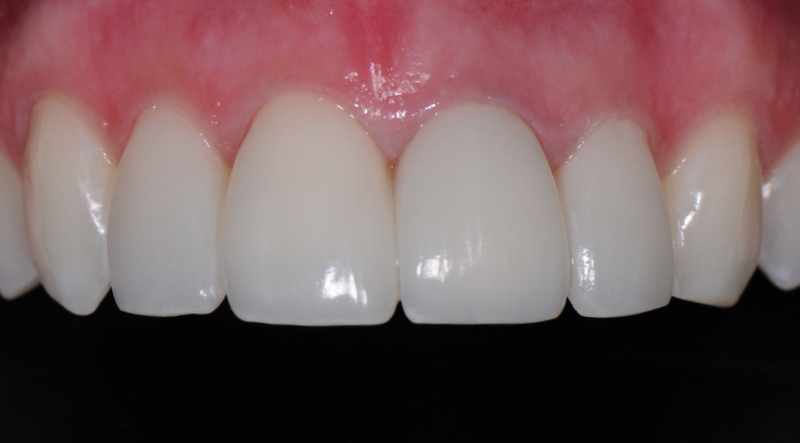
Mūsų prioritetas – tobula paciento šypsena2025-02-14Estetinis plombavimasDaugeliui žmonių svarbi ne tik burnos sveikata, bet ir burnos estetika. Šypsena – vienas svarbiausių ir reikšmingiausių be žodžių komunikacijos būdų, kuriuo perduodame informaciją aplinkiniams. Todėl nenuostabu, kad norime sveikos ir išpuoselėtos šypsenos. Laimei, šiuolaikinė odontologija siūlo itin veiksmingą, saugų ir finansiškai prieinamą būdą, skirtą dantų estetikai atkurti.Estetinis plombavimas: kas tai ir kada jo reikia?Klinikos „Neodenta“ gydytojai odontologai Inga Linkytė-Šližienė, Žilvinas Budrevičius ir Odeta Bardijevskienė savo pacientams dažnai siūlo ir atlieka būtent šią procedūrą. Anot specialistų, estetinis plombavimas – tai minimaliai invazinis pažeistų danties audinių atkūrimo būdas, atliekamas šiuolaikinėmis kompozicinėmis medžiagomis. Estetinio plombavimo metu atstatoma nudilusių, nuskilusių, karieso paveiktų ar kitaip estetinę išvaizdą praradusių dantų spalva, forma ir dydis. Svarbu paminėti, jog klinikos „Neodenta“ gydytojai siekia išsaugoti kuo daugiau natūralių danties audinių. Taip pat reikia pabrėžti, jog šios procedūros metu naudojamos aukštos kokybės plombinės medžiagos, kurias sluoksniuojant atstatyti dantys atrodo natūraliai. Todėl pacientams nereikia baimintis itin pastebimo „dirbtinių“ dantų efekto. Svarbu, jog estetinis plombavimas atliekamas, kai dantys yra nuskilę, nudilę, paciento netenkina dantų forma ir spalva. Taip pat ši procedūra pasitelkiama, kai ėduonis pažeidžia priekinius dantis, patyrus dantų traumas ar esant tarpams tarp dantų (diastemai). Estetinis plombavimas atliekamas ir esant senoms ir nekokybiškoms plomboms, siekiant panaikinti pigmentines dėmes, kai yra reikalingas sąkandžio pakėlimas, prieš ar po ortodontinio gydymo.Estetinio plombavimo privalumaiKlinikos „Neodenta“ gydytoja odontologė I. Linkytė-Šližienė pabrėžia, jog estetinio plombavimo privalumų yra išties daug. Visų pirma, tai minimaliai invazinis dantų atkūrimo būdas. Būtent todėl tausojami natūralūs paciento dantų audiniai, o procedūros metu naudojamos kokybiškos medžiagos, kurias organizmas puikiai toleruoja. Dėl šių priežasčių estetinis plombavimas yra itin saugus ir tinkamas bet kokio amžiaus pacientams. Taip pat svarbu pabrėžti faktą, jog estetinis dantų plombavimas gali išspręsti itin daug dantų estetikos problemų, nes jo metu neskausmingai atkuriama anatominė dantų struktūra, kruopščiai parenkama plombų spalva, dantims gali būti suteikiama nauja, arba tiksliai atkuriama dabartinė forma. Šis gydymo metodas tinka skubantiems pacientams – dažniausiai užtenka 2 – 3 vizitų pas odontologą. Pirmojo apsilankymo metu sudaromas geriausiai pacientui tinkantis gydymo planas, gydytojas atsako į visus rūpimus klausimus. Antrojo vizito metu atliekama estetinio plombavimo procedūra, kurios metu įprastai atkuriama 4 – 6 dantų estetika. Trečiasis apsilankymas skirtas likusių dantų plombavimui ar reikalingoms korekcijoms.Kada estetinis plombavimas nerekomenduojamas?Klinikos „Neodenta“ specialistas Žilvinas Budrevičius pabrėžia, jog vis tik estetinis plombavimas gali tikti ne visada. Ši procedūra nerekomenduojama esant dideliems danties vainiko pažeidimams, tokiais atvejais rekomenduojama rinktis mikroprotezavimą bemetalės keramikos laminatėmis ar vainikėliais. Taip pat esant sąkanžio patologijoms rekomenduojamas ortodontinis gydymas (kapos arba breketai), o po jo jau gali būti atliekamas estetinis plombavimas.Gydytojai odontologė Odeta Bardijevskienė primena, jog esant dantų griežimui (bruksizmui), atsiranda estetinių plombų skilinėjimo rizika, gali būti rekomenduojama nakties metu užsidėti apsauginę kapą. Esant labai išreikštam dantų griežimui, gydytojas odontologas gali atsisakyti atlikti estetinį plombavimą ir rekomenduoti kitus gydymo būdus.Rekomendacijos po estetinio plombavimoGydytojų odontologų komanda teigia, jog yra keletas svarbių rekomendacijų, užtikrinančių ilgalaikius ir sėkmingus estetinio plombavimo rezultatus. Porą dienų po procedūros derėtų nevartoti dažančių maisto produktų – raudonojo vyno, uogų, kavos, taip pat rekomenduotina nerūkyti. Kasdien valant dantis, reikėtų naudoti minkštą dantų šepetėlį ir nenaudoti abrazyvių medžiagų ar balinančių pastų. Būtina reguliariai atlikti profesionalią burnos higieną, o kartą arba du per metus reikia nepamiršti užsiregistruoti vizitui pas savo odontologą dėl profilaktinės apžiūros ir plombų poliravimo. Jei naktimis griežiate dantimis, pravers specialios kapos, kurios apsaugos dantis nuo nusidėvėjimo. Esant poreikiui, jas rekomenduojama naudoti kiekvieną naktį. Pasirūpinkite savo šypsena Specialistai pabrėžia, kad svarbiausia surasti jūsų poreikius atitinkančią kliniką ir specialistą, kuriuo pasitikite. Viskuo pasirūpins ir geriausią šypsenos atkūrimo planą pasiūlys odontologas ir jo komanda. Taip pat gydytojai primena, kad visada geriau į specialistą kreiptis anksčiau – tuomet galėsite ramiai susiplanuoti visą gydymo planą.