Inga Linkytė – Sližienė

Estetinių restauracijų specialistė, gyd. odontologė

Kaunas

Licencijos Nr.: OPL-04280

Trumpa biografija

  • 2017 m.Lietuvos estetinio restauravimo konkurso ESTETIKO 2016 komisijos narė
  • 2016 m.Tapo Lietuvos estetinio restauravimo konkurso ESTETIKO 2016 nugalėtoja ir užėmė garbingą I vietą
  • 2012 m. Atliko odontologinių studijų programos internatūrą implantologijos ir estetinės odontologijos klinikoje „Neodenta”
  • Nuo 2007 m.Nacionalinės estetinės odontologijos akademijos narė
  • Nuo 2006 m.Dirba implantologijos ir estetinės odontologijos klinikoje “Neodenta”
  • Nuo 2004 m.Lietuvos Respublikos odontologų rūmų narė
  • Nuo 2001 m.Lietuvos burnos higienistų draugijos narė

Kursai ir stažuotės

  • 2018 m.Kursai „Taisyklingas viršutinių šoninių dantų anatomijos atstatymas plombuojant įvairaus dydžio kariozinius pažeidimus” / Gyd.odontologė Loreta Noreikaitė / Klaipėda, Lietuva
  • 2017 m.Teoriniai praktiniai mokymai ,,Estetinis protezavimas laminatėmis: dantų preparavimas, laikinos restauracijos, adhezinis cementavimas, dantų izoliacija ruberdamu. Spalvą pakeitusio danties kompozitinė restauracija”/ Lietuva
  • 2017 m.Praktinis seminaras „Aktyvus klientų aptarnavimas”/ Kaunas, Lietuva
  • 2016 m.Tarptautinė Lietuvos odontologų ortopedų draugijos konferencija “Restauracinė odontologija: ką galime padaryti geriau?” / Lietuva
  • 2016 m.Seminaras „Dantų eilės rekonstrukcija: diastemų ir tremų uždarymas” / Lietuva
  • 2016 m.Seminaras „Dantų rekonstrukcija: vainiko padėties keitimas” Serhiy Radlinskyy / Lietuva
  • 2016 m.Seminaras ir praktinis kursas „Tiesioginio dervinio kompozito panaudojimas priekinių dantų restauracijose: Komplikuotų atvejų sprendimo ABC” Jason Smithson / Lietuva
  • 2016 m.Teoriniai ir praktikiniai kursai “DSD Lithuania.Skaitmeninio šypsenos planavimo kursas” Dr. Christian Coachman (Brazilija)./ Vilnius, Lietuva
  • 2016 m.Estetinio plombavimo konkurso „Estetiko” finalininkė, I vietos nugalėtoja./ Kaunas, Lietuva
  • 2015 m. 4-toji Tarptautinė Konferencija „Estetika ir Funkcija“./ Dr. Jan Hajtó (Vokietija), Dr. Robert Marus (JAV), Dr. Daniel Bäumer (Vokietija), Prof. dr. Bernd Klaiber (Vokietija), Mdt. Axel Gütges (Vokietija), Dr. Tristan Staas (Nyderlandai)/ Kaunas, Lietuva
  • 2015 m.Seminaras „EFP protokolas ir adhezinė odontologija, diagnostika ir gydymo planavimas atliekant paprastas ir sudėtingas okliuzines reabilitacijas”( prof. Camillo D. Arcangelo/ Italija),( Mtd. Daniele Rondoni/ Italija) / Lietuva
  • 2015 m. Teorinis/praktinis seminaras „Direct system veneer occlusion composite”, /Stephan Lampl/ Lietuva
  • 2014 m. Teorinis/praktinis seminaras „Kasdieninis priekinių dantų estetinis plombavimas. Style Italiano koncepsija ” / Kaunas, Lietuva
  • 2014 m.Seminaras ,,Infekcijos kontrolė. Būtinoji pagalba.Profesinė etika.Burnos ligų profilaktika. / Lietuva
  • 2014 m.Teorinis /praktinis seminaras „Biomimetinis priekinių dantų atstatymas kompozitais” (med. dr. Kirilas Paliakovas, Baltarusija) / Lietuva
  • 2014 m.Teoriniai – praktiniai mokymai „Profesionalus klientų aptarnavimas”./ Kaunas, Lietuva
  • 2013 m. Prieškongresiniai praktikiniai kursai “Dantų fotografijos metodai ir galimybės“./Dr. med. dent. Wolfgang Bengel / Bensheimas, Vokietija
  • 2013 m. „V Jubiliejinė Quintessence Baltic konferencija”./ Tobulumas odontologijoje. Pasaulio lyderių pasiekimai ir tikslai./ Dr. med. dent. Pascal Magne ( Šveicarija)/, dr. med. dent. Wolfgangas Bengelis (Bensheimas, Vokietija)/, dr. Alessandro Ponte (Turinas, Italija)/, dr. Justinas Bardijevskis (Kaunas,Lietuva) / Lietuva
  • 2013 m. Seminaras odontologams “Moderni restauracijos koncepcija”, Lektorius Prof. Dr. Lorenzo Vanini (Italija) / Lietuva
  • 2012 m.Quintessence Baltic Conference./ Šiandiena prieš ateitį. Šiandieninės ir ateities technologijos./ DMD Didier Dietschi (Ženeva, Šveicarija)/, Dr. med. dent. Alessandro Devigus (Ciurichas, Ženeva)/, Prof. Dr. Ashok Sethi (Londonas, Didžioji Britanija)/, Dr. Med. Dent. Helmut Walsch / Miunchenas, Vokietija
  • 2012 m.Tarptautinė konferencija „Aktualijos periodontologijoje“./ Lietuvos periodontologų draugija. / Lietuva
  • 2012 m. Kursai ,,Mastering layering, anatomy and finishing of anterior composite restorations. DM. Didier Dietschi” / Lietuva
  • 2012 m. Tarptautinė konferencija „Naujovės ir aktualijos odontologo praktikoje“./ Dr. Julian Webber/Anglija/, Dr. Devorah Schwartz-Arad, Dr. Ralf Smeets /Vokietija/, Dr.Octavio / Cintra,Brazilija
  • 2012 m.Quintessence Baltic Bruxismus./ IV-oji kasmetinė tarptautinė konferencija./ Prof. CHARLES McNEILL, D.D.S. (University of California, San Francisco)/, Prof. PATRICIA A. RUDD, PT, DPT, CCTT. (University of California, San Francisco)/, Prof. Sandro Palla (University of Zurich)/, Prof. Daniel Paesani (University of Salvador/ AOA, Buenos Aires/Argentina
  • 2005 m.Respublikinė praktikinė konferencija „Burnos priežiūros specialistų darbo aktualijos ir perspektyvos”./ Kaunas, Lietuva
Rodyti daugiau

Dalyvavimas konkursuose/Laimėjimai:

  • 2013 m. Kasmetiniame respublikiniame UAB „Astravita” organizuotame „Enamel” konkurse studentams
    odontologams užimta 3 vieta

Skaityti pranešimai

  • 2006 m. Dantų balinimo būdai ir metodai. Dantų balinimas naudojant „Zoom” ir namų balinimo sistemas. Dantų jautrumo profilaktika bei gydymas.” 8 val. trukmės praktikiniai darbai./Lietuva

Registruokitės vizitui dabar

Inga Linkytė – Sližienė

Atliekamos paslaugos

Atlikti darbai

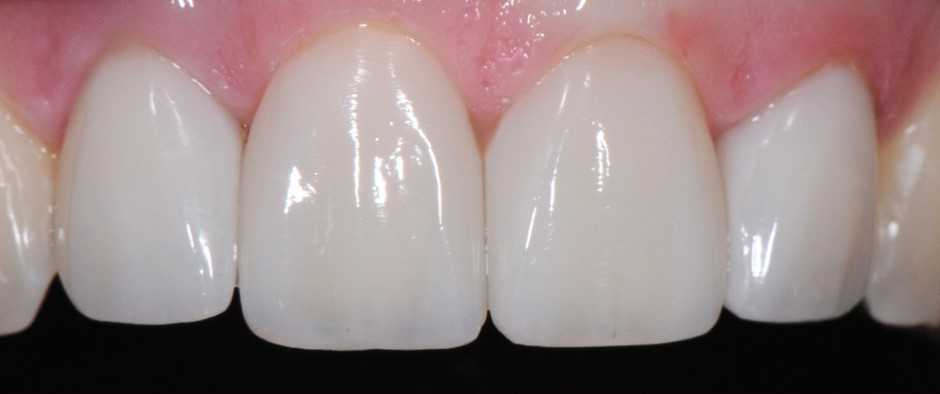
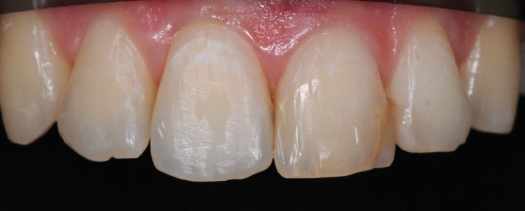
Gydytojos odontologės, estetinių restauracijų specialistės, Ingos Linkytės-Sližienės atvejis

Paciento netenkino dantų estetika – pageidavo baltesnės dantų spalvos bei estetiškesnės formos. Procedūros metu estetinių restauracijų būdu gydytoja Inga atkūrė dantų anatomiją ir funkciją, bei sugrąžino pasitikėjimą savimi.

Gydytojos odontologės, estetinių restauracijų specialistės, Ingos Linkytės-Sližienės atvejis prieš Gydytojos odontologės, estetinių restauracijų specialistės, Ingos Linkytės-Sližienės atvejis po

Gydytojos odontologės, estetinių restauracijų specialistės, Ingos Linkytės-Sližienės atvejis

Paciento netenkino dantų estetika – pageidavo baltesnės dantų spalvos bei estetiškesnės formos. Procedūros metu estetinių restauracijų būdu gydytoja Inga atkūrė dantų anatomiją ir funkciją, bei sugrąžino pasitikėjimą savimi.

Gydytojos odontologės, estetinių restauracijų specialistės, Ingos Linkytės-Sližienės atvejis prieš Gydytojos odontologės, estetinių restauracijų specialistės, Ingos Linkytės-Sližienės atvejis po

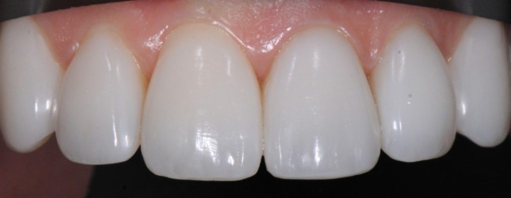
Gydytojos odontologės, estetinių restauracijų specialistės, Ingos Linkytės-Sližienės atvejis

Pacientė atvyko norėdama pakeisti estetinę dantų išvaizdą: netenkino matinis jų paviršius, spalva, nevienodas dantų aukštis. Procedūros metu estetinių restauracijų specialistė Inga pacientei atkūrė dantų funkciją bei sugrąžino šypsenos estetiką.

Gydytojos odontologės, estetinių restauracijų specialistės, Ingos Linkytės-Sližienės atvejis prieš Gydytojos odontologės, estetinių restauracijų specialistės, Ingos Linkytės-Sližienės atvejis po

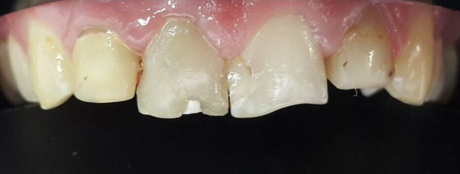
Gydytojos odontologės, estetinių restauracijų specialistės, Ingos Linkytės-Šližienės atvejis

Pacientas atvyko norėdamas baltesnių dantų, netenkino ir jų matinis paviršius, forma, ilgis bei atsiradę pleištiniai defektai. Procedūros metu estetinių restauracijų būdu sugrąžinta šypsenos estetika bei funkcija.

Gydytojos odontologės, estetinių restauracijų specialistės, Ingos Linkytės-Šližienės atvejis prieš Gydytojos odontologės, estetinių restauracijų specialistės, Ingos Linkytės-Šližienės atvejis po

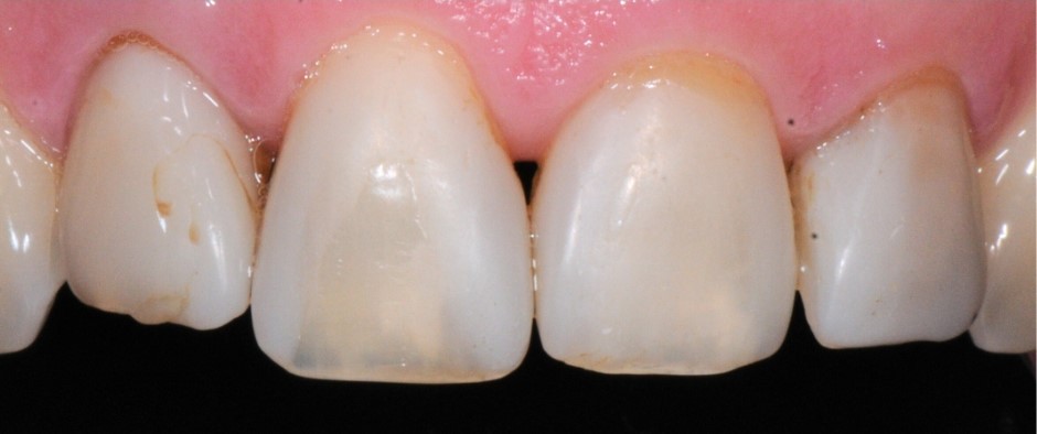
Gydytojos odontologės, estetinių restauracijų specialistės, Ingos Linkytės-Šližienės atvejis

Paciento netenkino dantų forma, nuskilimai bei matinė dantų spalva. Estetinis plombavimas suteikia galimybę atkurti nudilusių ar netenkinamos išvaizdos dantų paviršius, tausojant jų sveikus audinius – vos vieno vizito metu. Ši procedūra tinka bet kokio amžiaus žmonėms bei nekelia nemalonių pojūčių.

Gydytojos odontologės, estetinių restauracijų specialistės, Ingos Linkytės-Šližienės atvejis prieš Gydytojos odontologės, estetinių restauracijų specialistės, Ingos Linkytės-Šližienės atvejis po

Registracija internetuRegistracija